BoneMetrics
AI-automated MSK measurements US
BoneMetrics is designed to support the diagnosis of patients undergoing X-ray musculoskeletal examinations, helping healthcare professionals assess and monitor the musculoskeletal health of patients in clinical settings. US

With over 50 different measurements,
BoneMetrics is the most comprehensive AI for MSK measurements
BoneMetrics automates MSK measurements with precision, covering scoliosis. It streamlines workflows on X-ray acquisitions, enabling faster, more accurate diagnoses for improved patient care.
See BoneMetrics in Action
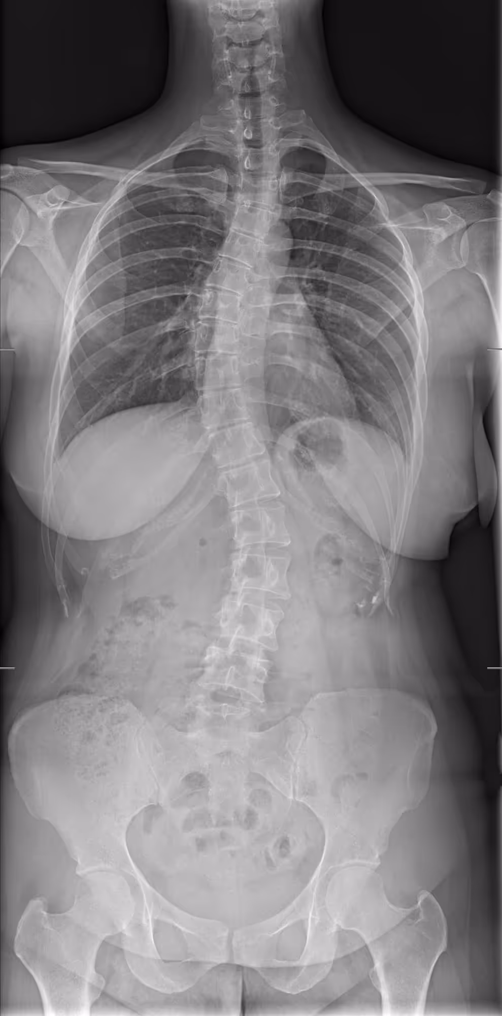
Indication
A 30-year-old woman with dorsal pain
Results
BoneMetrics revealed a confirmed diagnosis of triple curve scoliosis
For Adults
BoneMetrics is intended to be used on X-Rays for young adults and adults aged over 15 years.
Comprehensive Body Coverage
BoneMetrics is designed for radiography in AP, PA, bedside, and lateral views.
Specific features
Discover more about BoneMetrics
Includes Reference Values
For more than 30 measurements, a reference value threshold is included. The display of measurement reference values directly within the secondary capture alongside their original sources is here. Radiologists can instantly assess whether a measurement falls within the expected range, without needing to consult external references. This not only speeds up interpretation but also provides clear support for clinical discussions and decision-making.
Less Time Measuring. More Time Healing.
Clinical Studies
BoneMetrics
Validation of AI-driven measurements for hip morphology assessment
Lassalle L, Regnard N-E, Durteste M, Ventre J, Marty V, Clovis L, Zhang Z, Nitche N, Ducarouge A, Tran A, Laredo J-D, Guermazi A
BoneMetrics
Deep learning algorithm enables automated Cobb angle measurements with high accuracy
Hayashi D, Regnard N-E, Ventre J, Marty V, Clovis L, Lim L, Nitche N, Zhang Z, Tournier A, Ducarouge A, Kompel A J, Tannoury C, Guermazi A
BoneMetrics
Evaluation of a deep learning software for automated measurements on full-leg standing radiographs
Lassalle L., Regnard N.-E., Durteste M., Ventre J., Marty V., Clovis L., Zhang Z., Nitche N., Ducarouge A., Laredo J.-D., Guermazi A.
Boost your workflow with the power of advanced integrations
Designed with radiologists, our workflow integrations blend effortlessly into daily routines, enhancing speed, clarity, and confidence at every step.
AI-powered Worklist
Worklist now highlights AI results, findings, and automatically prioritizes urgent patient cases.
Shadow Mode
AI results appear on native images, where radiologists can review, accept, or reject, all within their workflow.
Part of Gleamer Copilot
Gleamer Copilot is the all-in-one AI platform that supports radiologists from image to report. It combines powerful detection tools, smart measurements, and structured reporting to boost accuracy and efficiency, all seamlessly integrated into your workflow.
¹ 93.4% average across all MSK measurements. Data based on internal analysis.
²Total manual annotation time on 617 radiographs was 876 min, and the total AI-assisted annotation time was 65 min. Data based on internal study.
³Total interpretation times (measurements and report) were 246±84s for the fully manual workflow and 74±20s for the fully automated workflow. (Talabard et al., 2025 in European Journal of Radiology)
For the latest regulatory information, refer to: https://www.gleamer.ai/privacy-policy.

