Coming soon
LumbarMR
AI solution for lumbar spine MRI
LumbarMR supports radiologists in the assessment of low back pain. It analyzes lumbar spine MRI, automatically detects and characterizes key degenerative findings, and generates a structured, standardized report, in minutes, directly in your workflow.

Low back pain is common. Reading is not simple.
Built for everyday lumbar MRI, LumbarMR flags the pathologies that drive decisions in LBP: endplate degeneration, disc herniation and bulging, compression fractures and edema, spondylolisthesis, central canal stenosis, foraminal stenosis (left and right sides), and facet arthropathy. It standardizes grading and localization to help you read faster with greater confidence.
See LumbarMR in Action
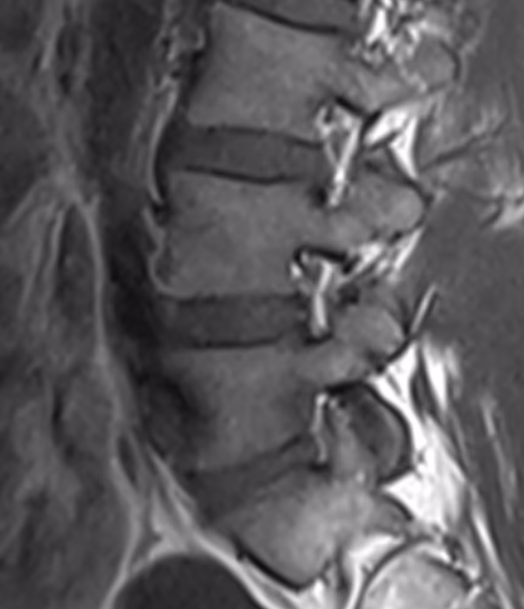
Indication
A 45-year-old female presenting with left-sided lumbosciatica, resistant to treatment.
Results
LumbarMR revealed a foraminal disc herniation.
The revolution of spine MRI
Agreement of
94%
between the AI and the GT¹
LumbarMR achieves up to
94%
sensitivity¹
Average time gain of
94%
per exam (resident without AI vs. resident with AI)¹
Boost your workflow with the power of advanced integrations
Designed with radiologists, our workflow integrations blend effortlessly into daily routines, enhancing speed, clarity, and confidence at every step.
Reporting has never been this fast
AutoReport automatically generates patient reports based on its findings. It fills in the indication, technique, and delivers smart, clinically relevant impressions, saving time while ensuring consistency and quality.
AI-powered Worklist
Worklist now highlights AI results, findings, and automatically prioritizes urgent patient cases.
Shadow Mode
AI results appear on native images, where radiologists can review, accept, or reject, all within their workflow.
Part of Gleamer Copilot
Gleamer Copilot is the all-in-one AI platform that supports radiologists from image to report. It combines powerful detection tools, smart measurements, and structured reporting to boost accuracy and efficiency, all seamlessly integrated into your workflow.
Already implemented in
+2500
Clinical sites
We analyze
+45M
Patients/year
Worldwide presence in
+45
Countries
¹Metrics are based on the results from an internal study
For the latest regulatory information, refer to: https://www.gleamer.ai/privacy-policy

