BoneMetrics
AI-automated MSK measurements
BoneMetrics is designed to support the diagnosis of patients undergoing X-ray musculoskeletal examinations, helping healthcare professionals assess and monitor the musculoskeletal health of patients in clinical settings.

With over 50 different measurements,
BoneMetrics is the most comprehensive AI for MSK measurements
BoneMetrics automates MSK measurements with precision, covering conditions like scoliosis, hallux valgus, and patella alta. It streamlines workflows on X-ray and EOS acquisitions, enabling faster, more accurate diagnoses for improved patient care.
See BoneMetrics in Action
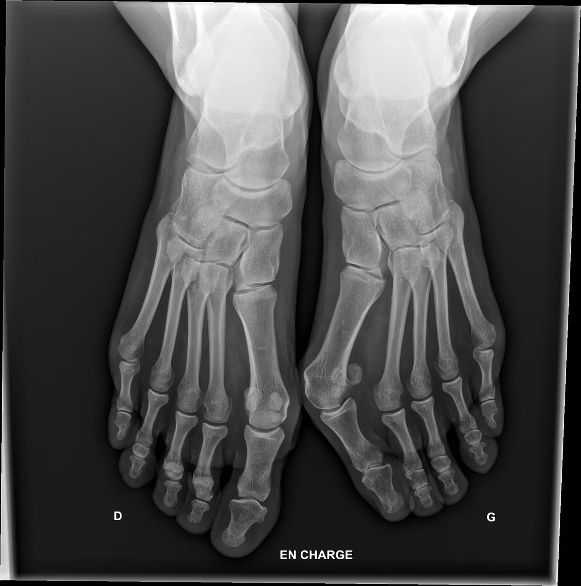
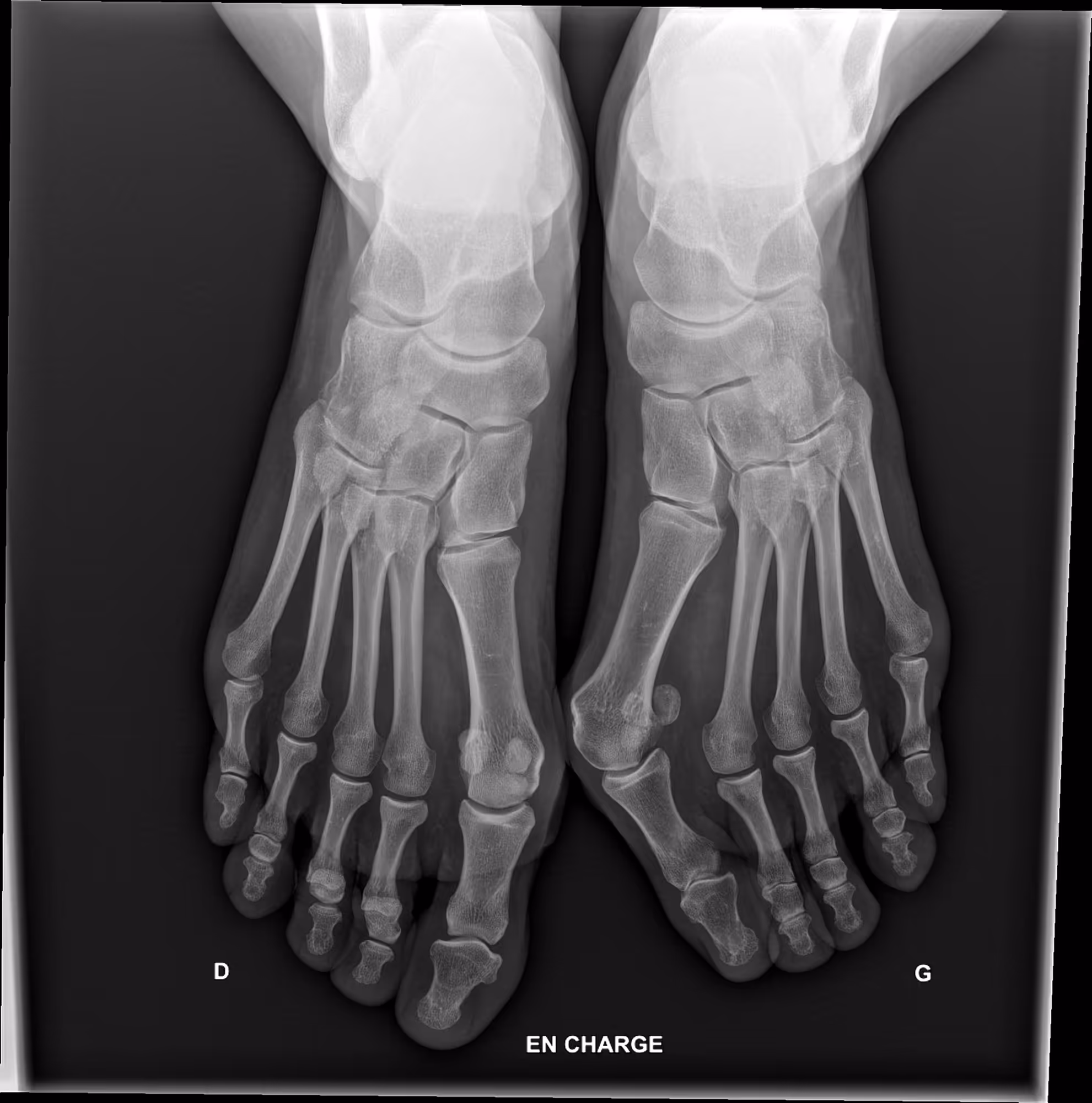
Indication
This is the defA 45-year-old female presenting with foot discomfort and difficulty wearing shoes.
Results
BoneMetrics detected a bilateral hallux valgus, with greater deformity on the left side.
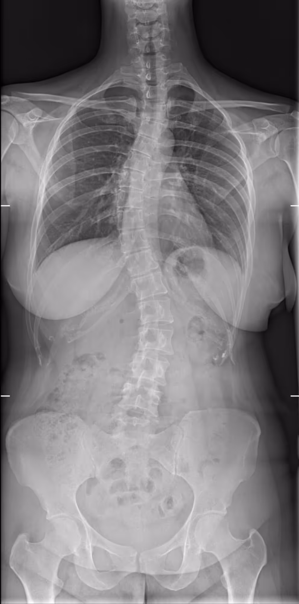
Indication
A 30-year-old female presenting with dorsal main, and a history of untreated scoliosis in childhood.
Results
BoneMetrics identified three distinct Cobb angles, consistent with a triple curve scoliosis.
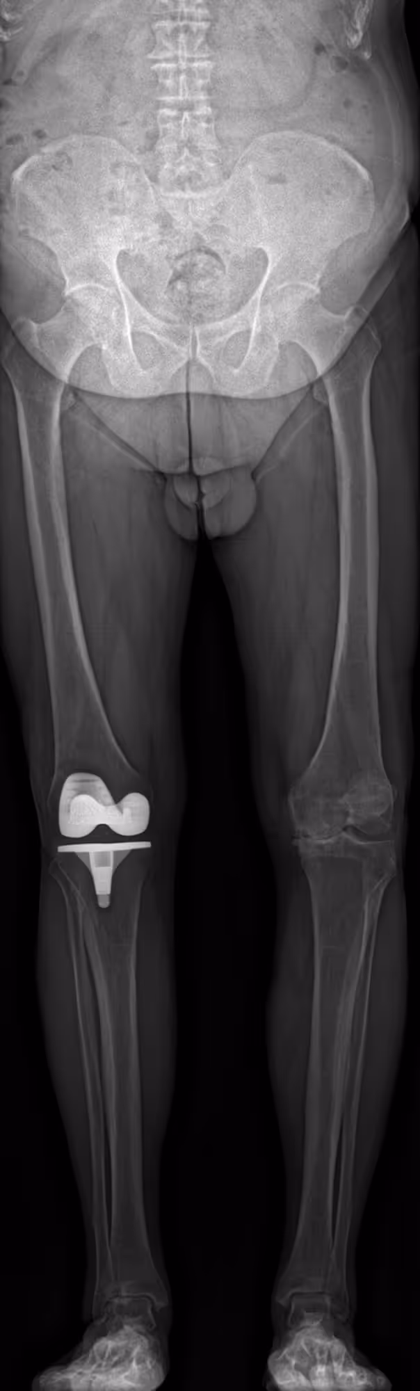
Indication
A 78-year-old male presenting with left medial knee pain, undergoing evaluation prior to potential prosthesis placement.
Results
BoneMetrics measured a left genu varum deformity, consistent with varus malalignment of the knee.
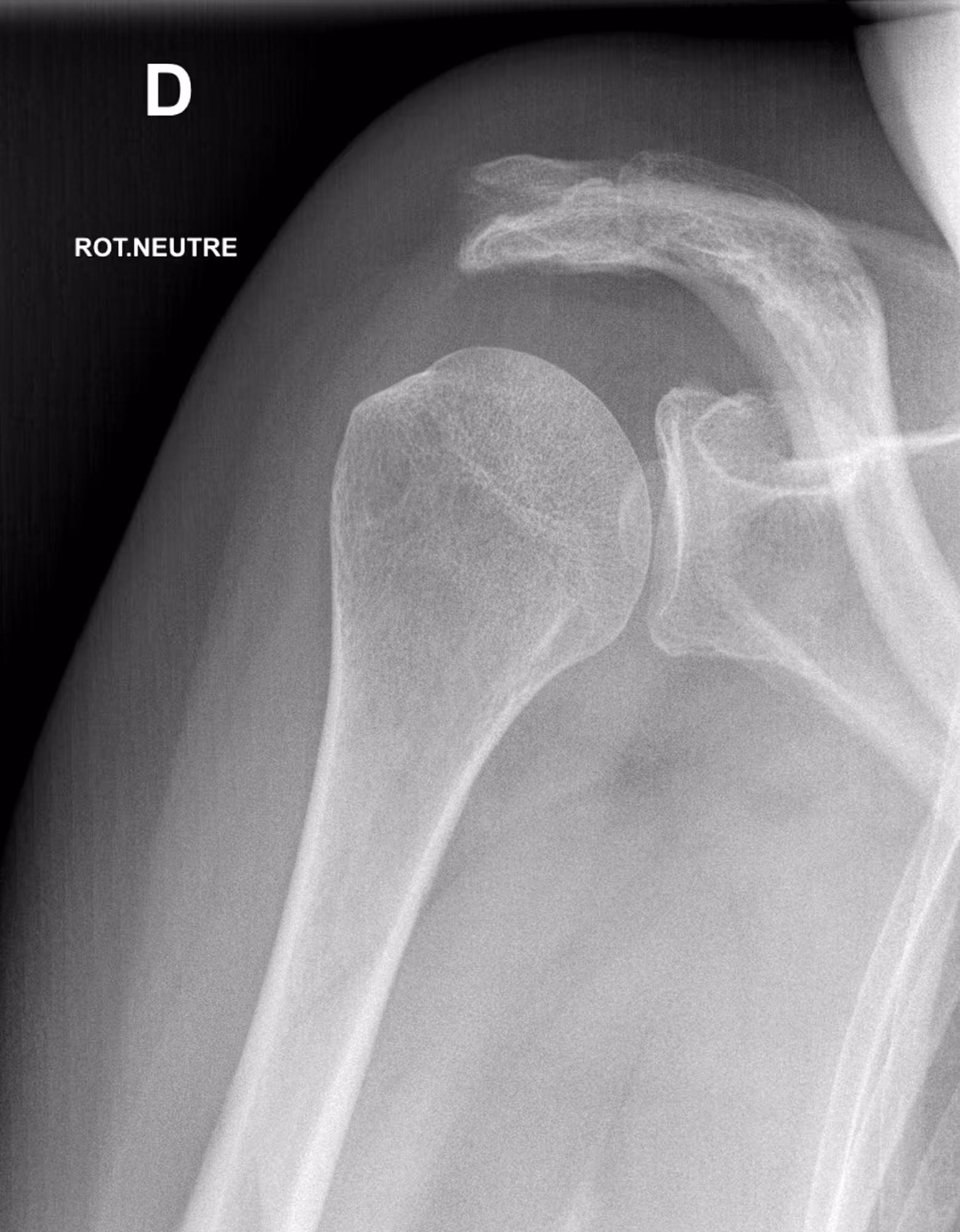
Indication
A 64-year-old female presenting with persistent left shoulder pain, undergoing evaluation prior to potential acromiosplasty.
Results
BoneMetrics found a critical shoulder angle within normal limits.
Indication
A 15-year-old male presenting with non-specific knee pain.
Results
BoneMetrics measured the Caton-Deschamps and Insall-Salvati indices, showing values within the normal range.
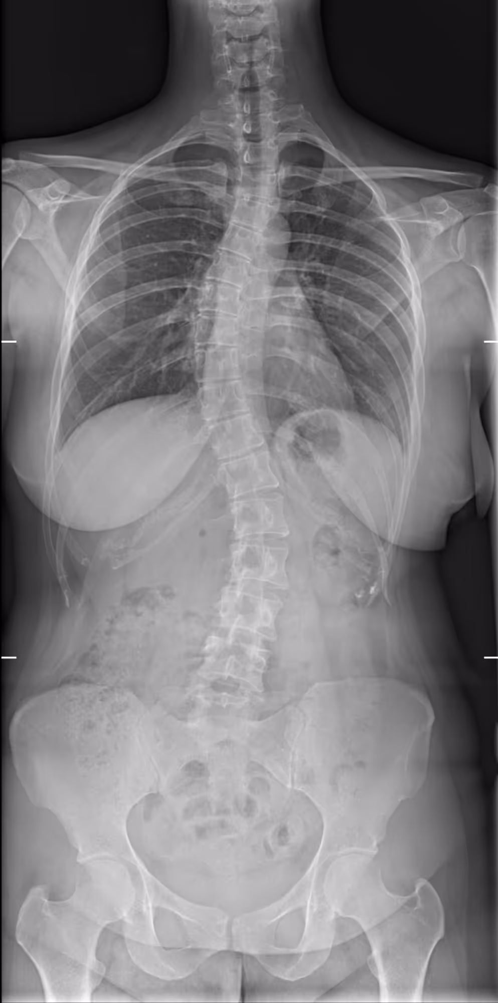
Indication
A 60-year-old female with a history of right hip coxoarthritis presents with left hip pain.
Results
BoneMetrics confirmed the presence of hip dysplasia and inequality of pelvic obliquity.
Discover the full list of measures
Lateral
Talus-1st metatarsal angle
Medial arch angle
Calcaneal inclination angle
Frontal
Hallux valgus angle
1st-2nd intermetatarsal angle
1st-5th intermetatarsal angle
Meary
Angle of the hind foot on Meary ring film
Lateral
Spino-sacral angle
Sagittal vertical axis
Thoracic kyphosis
Lumbar lordosis
T1 &T9 tilt
Pelvic incidence
Pelvic tilt
Sacral slope
Frontal
Cobb angle
Pelvic obliquity
Coronal balance
Risser index
Lateral
Pelvic incidence
Pelvic tilt
Sacral slope
Flessum/Recurvatum
Frontal
Hip-knee-ankle angle (HKA)
Femur length (from top and from center)
Tibia length
Leg length (from top and from center)
Pelvic obliquity
Joint Line Obliquity (JLO)
Joint Line Convergence Angle (JLCA)
Mechanical Axis Deviation (MAD)
Femoral Mechanical Anatomical Angle (FMAA)
Mechanical Lateral Distal Tibial Angle (mLDTA)
mechanical Medial Proximal Tibia Angle (mMPTA)
mechanical Lateral Distal Femoral Angle (mLDFA)
mechanical Lateral Proximal Femoral Angle (mLPFA)
Frontal
Critical shoulder angle (CSA)
Lateral
Caton-Deschamps index
Insall Salvati index
Frontal
Pelvic obliquity
Acetabular roof angle
Lateral center-edge angle
Caput-Collum-Diaphyseal angle (CCD)
Vertical-center-anterior angle (VCA)
Alpha angle for congenital hip dislocation (on x-ray)
For Adults
BoneMetrics is intended to be used on X-Rays for young adults and adults aged over 15 years.
Comprehensive Body Coverage
BoneMetrics is designed for radiography in AP, PA, and lateral views.
Specific features
Discover more about BoneMetrics
Includes Reference Values
For more than 30 measurements, a reference value threshold is included. The display of measurement reference values directly within the secondary capture alongside their original sources is here. Radiologists can instantly assess whether a measurement falls within the expected range, without needing to consult external references. This not only speeds up interpretation but also provides clear support for clinical discussions and decision-making.
Less Time Measuring. More Time Healing.
Clinical Studies
BoneMetrics
Validation of AI-driven measurements for hip morphology assessment
Lassalle L, Regnard N-E, Durteste M, Ventre J, Marty V, Clovis L, Zhang Z, Nitche N, Ducarouge A, Tran A, Laredo J-D, Guermazi A
BoneMetrics
Deep learning algorithm enables automated Cobb angle measurements with high accuracy
Hayashi D, Regnard N-E, Ventre J, Marty V, Clovis L, Lim L, Nitche N, Zhang Z, Tournier A, Ducarouge A, Kompel A J, Tannoury C, Guermazi A
BoneMetrics
Evaluation of a deep learning software for automated measurements on full-leg standing radiographs
Lassalle L., Regnard N.-E., Durteste M., Ventre J., Marty V., Clovis L., Zhang Z., Nitche N., Ducarouge A., Laredo J.-D., Guermazi A.
Boost your workflow with the power of advanced integrations
Designed with radiologists, our workflow integrations blend effortlessly into daily routines, enhancing speed, clarity, and confidence at every step.
AI-powered Worklist
Worklist now highlights AI results, findings, and automatically prioritizes urgent patient cases.
Shadow Mode
AI results appear on native images, where radiologists can review, accept, or reject, all within their workflow.
Part of Gleamer Copilot
Gleamer Copilot is the all-in-one AI platform that supports radiologists from image to report. It combines powerful detection tools, smart measurements, and structured reporting to boost accuracy and efficiency, all seamlessly integrated into your workflow.
¹ 93.4% average across all MSK measurements. Data based on internal analysis.
²Total manual annotation time on 617 radiographs was 876 min, and the total AI-assisted annotation time was 65 min. Data based on internal study.
³Total interpretation times (measurements and report) were 246±84s for the fully manual workflow and 74±20s for the fully automated workflow. (Talabard et al., 2025 in European Journal of Radiology)
For the latest regulatory information, refer to: https://www.gleamer.ai/privacy-policy.











