BoneView
AI-powered solution for bone trauma
BoneView provides radiologists and doctors with an instant and automatic 2nd reading of trauma bone X-Rays fully integrated into the reading workflow.

BoneView is the most used bone trauma AI in the world
Detect bone trauma in seconds, seamlessly integrated into your reading workflow.
BoneView instantly detect fractures and bone trauma on X‑rays, helping radiologists act faster and with greater confidence.
See BoneView in Action
Indication
A 63-year-old male with lingering pain after a trail run.
Results
BoneView detected a fracture of the lateral tibial plateau and associated effusion. The fracture has a high risk of displacement.
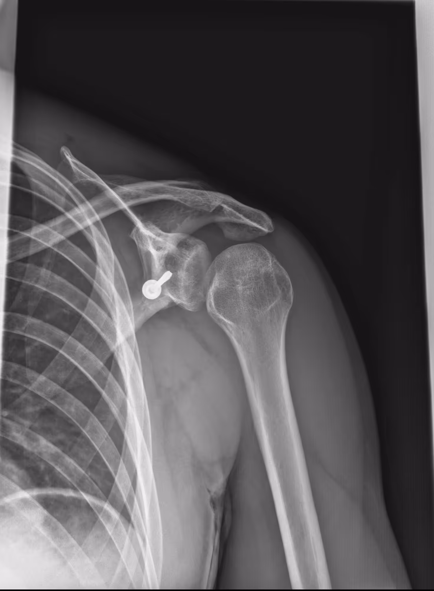
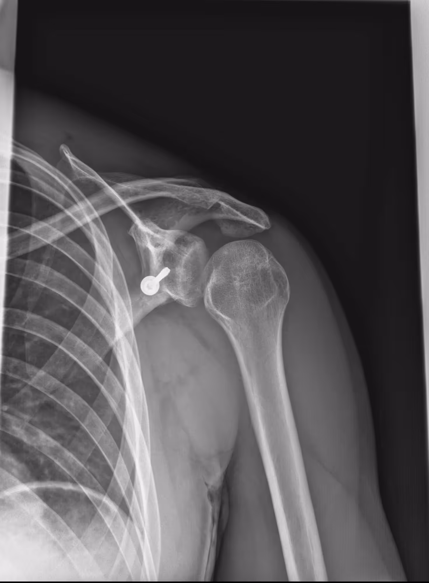
Indication
A 29-year-old male under the influence of alcohol with total functional impotence of the left arm.
Results
BoneView detected a posterior glenohumeral dislocation.
Indication
A 79-year-old female was bitten by her dog and consulted three weeks later due to lingering pain.
Results
BoneView detected a lesion of the first phalanx, revealing infectious osteitis.
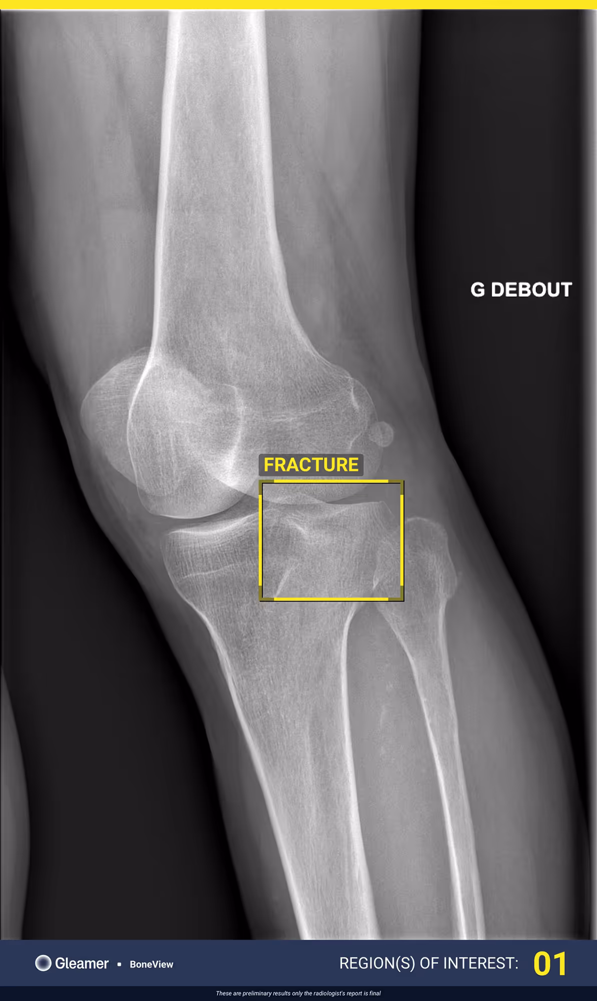
Indication
A 63-year-old male with lingering pain after a trail run.
Results
BoneView detected a fracture of the lateral tibial plateau and associated effusion. The fracture has a high risk of displacement.
For Adults and Children
BoneView is intended to be used on X-Rays of adults and children above 2 years old.
Comprehensive Body Coverage
BoneView is intended for use on X-rays of the limbs, pelvis, thoracic and lumbar spine, and rib cage.
More than a safety net,
BoneView is a real assistant.
Boost your workflow with the power of advanced integrations
Designed with radiologists, our workflow integrations blend effortlessly into daily routines, enhancing speed, clarity, and confidence at every step.
Reporting has never been this fast
BoneView automatically generates patient reports based on its findings. It fills in the indication, technique, and delivers smart, clinically relevant impressions, saving time while ensuring consistency and quality.
AI-powered Worklist
Worklist now highlights AI results, findings, and automatically prioritize urgent patients cases.
Shadow Mode
AI results appear on native images, where radiologists can review, accept, or reject, all within their workflow.
Part of Gleamer Copilot
Gleamer Copilot is the all-in-one AI platform that supports radiologists from image to report. It combines powerful detection tools, smart measurements, and structured reporting to boost accuracy and efficiency, all seamlessly integrated into your workflow.
¹Very high NPV of BoneView for fractures, dislocations, elbow effusions and focal bone lesions (> 99%) (Regnard et al., European Journal of Radiology, 2022)
²Missed fractures decreased by 30% with AI assistance. Relative reduction in patient wise FNR ; 35.2% to 24.8%. (Guermazi et al., Radiology, 2021)
³36% decrease in reading time for Reader 2, from 44 seconds without BoneView to 28 seconds with BoneView. (Canoni-Meynet et al., Diagnostic and Interventional Imaging, 2022)
For the latest regulatory information, refer to: https://www.gleamer.ai/privacy-policy







