LumbarMR
AI solution for lumbar spine MRI
LumbarMR supports radiologists in the assessment of low back pain. It analyzes lumbar spine MRI, automatically detects and characterizes key degenerative findings, and generates a structured, standardized report, in minutes, directly in your workflow.

Low back pain is common. Reading is not simple.
Built for everyday lumbar MRI, LumbarMR flags the pathologies that drive decisions in LBP: endplate degeneration, disc herniation and bulging, compression fractures and edema, spondylolisthesis, central canal stenosis, foraminal stenosis (left and right sides), and facet arthropathy. It standardizes grading and localization to help you read faster with greater confidence.
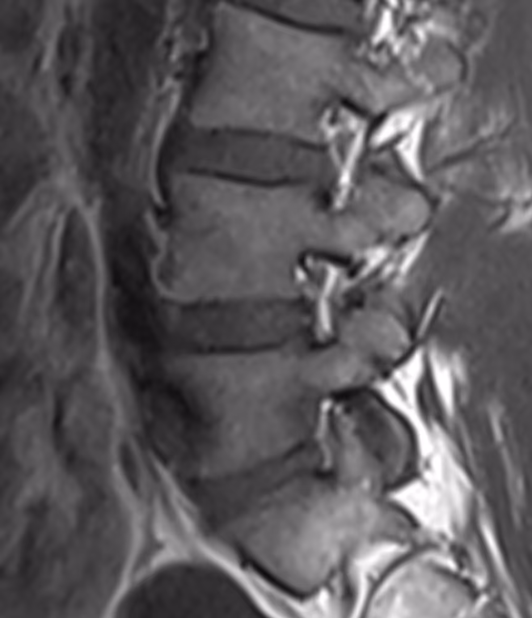
See LumbarMR in Action
Indication
A 45-year-old female presenting with left-sided lumbosciatica, resistant to treatment.
Results
LumbarMR revealed a foraminal disc herniation.
For Adults
LumbarMR is intended to be used on lumbar MRIs of adults above 18 years old
Compatible inputs
Supports Sagital T1, Sagital T2, Axial T2
or equivalent: T2 DIXON, STIR, T1 FLAIR, 3D T2
Specific features
Discover more about LumbarMR
What it detects
- Endplate degeneration
- Disc herniation and bulging
- Compression fractures and edema
- Spondylolisthesis
- Central canal stenosis
- Foraminal stenosis (left and right sides)
- Facet arthropathy
A complete and structured report
With clear, color-coded reports, LumbarMR organizes findings by level and side into a clean, structured pathology report.
The revolution of spine MRI
LumbarMR sensitivity is
11% higher
for all pathologies¹
LumbarMR specificity is
30% higher
for all pathologies¹
Over
95%
agreement between AI results and MSK experts²
Boost your workflow with the power of advanced integrations
Designed with radiologists, our workflow integrations blend effortlessly into daily routines, enhancing speed, clarity, and confidence at every step.
Reporting has never been this fast
LumbarMR automatically generates patient reports based on its findings. It fills in the indication, technique, and delivers smart, clinically relevant impressions, saving time while ensuring consistency and quality.
AI-powered Worklist
Worklist now highlights AI results, findings, and automatically prioritize urgent patients cases.
Shadow Mode
AI results appear on native images, where radiologists can review, accept, or reject, all within their workflow.
Part of Gleamer Copilot
Gleamer Copilot is the all-in-one AI platform that supports radiologists from image to report. It combines powerful detection tools, smart measurements, and structured reporting to boost accuracy and efficiency, all seamlessly integrated into your workflow.
Already implemented in
+2500
Clinical sites
We analyze
+45M
Patients/year
Worldwide presence in
+45
Countries
¹Performance validated on a cohort of 4,000 patients / 520,000 images
²Prospective study on-going
For the latest regulatory information, refer to: https://www.gleamer.ai/privacy-policy

